• Waarom PPF
  • Team PPF
  • Specialisten PPF
    • Parodontoloog
    • Implantoloog
    • Mondhygiënist
    • Paro Preventieassistente
    • Assistente
  • Kwaliteit
  • Werken bij PPF
  • Contact en route
  • Interessante links
  • Symptomen/gevolgen
  • Oorzaak en erfelijkheid
  • Parodontologie
    • Tandvleesontsteking
    • Tandvleesrecessie
    • Tandvleescorrectie
    • Kroonverlenging
  • Behandeling
    • Eerste onderzoek
    • Initiële behandeling
    • Evaluatie initiële beh.
    • Chirurgische behandeling
    • Nazorg/Recall fase
  • Veel gestelde vragen
  • Wat is een implantaat
  • Voor- nadelen implantaat
  • Implantologie
    • Botopbouw / botherstel
    • Extractie (+ botopbouw)
    • Sinuslift (kaak ophoging)
    • Kronen en bruggen
    • Prothese
  • Behandeling
    • Eerste onderzoek
    • Planning
    • Botopbouw / botherstel
    • Implantaatplaatsing
  • Nazorg en resultaten
  • Veel gestelde vragen
  • U bent doorverwezen
    • U bent doorverwezen
    • Afspraak en Bevestiging
    • Identificatie in de zorg
  • Veilig behandelen
  • Openingstijden
  • Werkwijze
  • Begroting/vergoeding
  • Tarieven/betaling
  • Privacy statement
  • Klachtenregeling
  • Veel gestelde vragen
  • Downloads / Links
  • Samenwerking
  • Doorverwijzen
  • Lezingen/Cursussen
  • Publicaties/Naslagwerken
  • Conebeam CT
  • Downloads

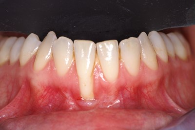
Recessiebedekking (terugtrekkend tandvlees)


Terugtrekkend tandvlees
Er is sprake van recessie op het moment dat het tandvlees teruggetrokken is en de tandwortel zichtbaar is. Recessie kan ontstaan door afwijkend poetsgedrag, (te hard poetsen, waardoor schade aan het tandvlees ontstaat), afwijkende stand van een tand of na een beugelbehandeling. Deze vorm van terugtrekkend tandvlees is over het algemeen goed te behandelen. Indien de recessie is ontstaan door een tandvleesontsteking, is hier in de meeste gevallen weinig meer aan te doen.

Behandeling
Behandeling van een behandelbare recessie zal zich in eerste instantie richten op het aanpakken van de oorzaak van de terugtrekking (aanpassen poetsgedrag). Daarna kan eventueel middels een chirurgische behandeling de recessie weer met tandvlees bedekt worden.

Praktijkvoorbeelden:

Voor behandeling                                                                    Na behandeling

Voor behandeling      Na behandeling


Voor behandeling                                                                    Na behandeling

Voor behandeling      Na behandeling

Waarom PPF


Omdat Parodontitis niet direct merkbaar is
Betrouwbare implantologische oplossingen
Innovatieve technieken

 

NVvP en NVOI erkend

Omdat u het beste wilt voor uw gebit!

Contactgegevens


Parodontologie Praktijk Friesland (PPF)
Brédyk 1-B
9084 AG Goutum
058-2160462
info@parofries.nl

NB: U vindt ons direct naast de Mc Donalds, Goutum

Routeplanner

U vindt ons hier!


(naast Mc Donalds - Goutum)

Voor patiënten


[noImage|NL|link;DWNLD;direct;104934|nvt|Informatieblad Tandvleesproblemen]
Informatieblad Implantaten
www.allesoverhetgebit.nl
Patienten enquete

 

Voor verwijzers


Formulier doorverwijzing
NoordOost Bulletin nummer 40, oktober 2025

Copyright 2026 - Parodontologie Praktijk Friesland (PPF)
Inloggen | Ziber Website | Design by Reclamestudio Hettinga