• Waarom PPF
  • Team PPF
  • Specialisten PPF
    • Parodontoloog
    • Implantoloog
    • Mondhygiënist
    • Paro Preventieassistente
    • Assistente
  • Kwaliteit
  • Werken bij PPF
  • Contact en route
  • Interessante links
  • Symptomen/gevolgen
  • Oorzaak en erfelijkheid
  • Parodontologie
    • Tandvleesontsteking
    • Tandvleesrecessie
    • Tandvleescorrectie
    • Kroonverlenging
  • Behandeling
    • Eerste onderzoek
    • Initiële behandeling
    • Evaluatie initiële beh.
    • Chirurgische behandeling
    • Nazorg/Recall fase
  • Veel gestelde vragen
  • Wat is een implantaat
  • Voor- nadelen implantaat
  • Implantologie
    • Botopbouw / botherstel
    • Extractie (+ botopbouw)
    • Sinuslift (kaak ophoging)
    • Kronen en bruggen
    • Prothese
  • Behandeling
    • Eerste onderzoek
    • Planning
    • Botopbouw / botherstel
    • Implantaatplaatsing
  • Nazorg en resultaten
  • Veel gestelde vragen
  • U bent doorverwezen
    • U bent doorverwezen
    • Afspraak en Bevestiging
    • Identificatie in de zorg
  • Veilig behandelen
  • Openingstijden
  • Werkwijze
  • Begroting/vergoeding
  • Tarieven/betaling
  • Privacy statement
  • Klachtenregeling
  • Veel gestelde vragen
  • Downloads / Links
  • Samenwerking
  • Doorverwijzen
  • Lezingen/Cursussen
  • Publicaties/Naslagwerken
  • Conebeam CT
  • Downloads

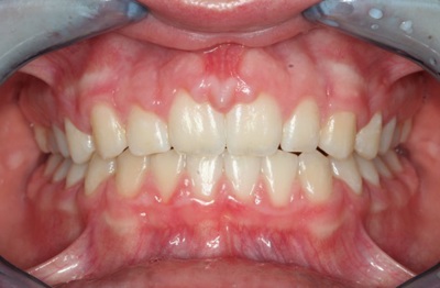
Tandvleescorrectie


Tandvleescorrectie
De esthetiek (het uiterlijk) van het gebit wordt bepaald door 2 factoren. Het witte gedeelte (de tanden) en het roze gedeelte (het tandvlees). Deze twee factoren dienen in harmonie met elkaar te zijn. Wanneer deze verhoudingen verstoord zijn, kan dit als storend/niet mooi worden ervaren.

Wanneer tanden niet volledig zijn doorgebroken is een kleiner deel van de tanden zichtbaar en lijkt iemand "kleine tanden" te hebben. Dit is echter niet zo maar de tanden liggen verborgen achter het tandvlees. Een correctie van het tandvlees kan de tanden weer beter zichtbaar (langer) maken. Voorbeeld hiervan is wanneer iemand lacht en er heel veel tandvlees zichtbaar is, een zogenaamde "gummysmile". In de meeste gevallen valt dit goed te corrigeren.

Voor behandeling                                                                          Na behandeling

            

Voor behandeling                                                                          Na behandeling

            

Waarom PPF


Omdat Parodontitis niet direct merkbaar is
Betrouwbare implantologische oplossingen
Innovatieve technieken

 

NVvP en NVOI erkend

Omdat u het beste wilt voor uw gebit!

Contactgegevens


Parodontologie Praktijk Friesland (PPF)
Brédyk 1-B
9084 AG Goutum
058-2160462
info@parofries.nl

NB: U vindt ons direct naast de Mc Donalds, Goutum

Routeplanner

U vindt ons hier!


(naast Mc Donalds - Goutum)

Voor patiënten


[noImage|NL|link;DWNLD;direct;104934|nvt|Informatieblad Tandvleesproblemen]
Informatieblad Implantaten
www.allesoverhetgebit.nl
Patienten enquete

 

Voor verwijzers


Formulier doorverwijzing
NoordOost Bulletin nummer 40, oktober 2025

Copyright 2026 - Parodontologie Praktijk Friesland (PPF)
Inloggen | Ziber Website | Design by Reclamestudio Hettinga